むし歯治療

むし歯を治療し、銀歯やレジン(プラスティック)などの詰め物や被せ物を使って補います。
今までの歯科医療は、小さなむし歯もすぐに削って詰め物を詰めるという治療が行われてきており、それが正しい治療法であると多くの患者さんや歯科医自身から信じられてきました。
しかし、一旦治療をしたとしても、詰め物をした周りや別の部位から再びむし歯になるとさらに大きな詰め物を詰めることになります。その後、発見が遅れることで神経を取る、治療を繰り返すことで歯を抜く。ついには入れ歯のお世話にならなくてはなりませんでした。
当院では、「削らない、抜かない、神経を取らない」をモットーに治療に取り組んでいます。
もちろんどうしてもそうしないといけない状況の場合もあります。しかしながらご自身の歯を残すことを最優先に考えて治療計画を立てるようします。
また、虫歯を作らないように予防する方法の指導も行っていますのでお気軽にご相談ください。
保険適用の白いかぶせ物と自費の白いかぶせ物の違い
保険適用の白いかぶせ物はプラスチックの含まれるCAD/CAM冠、自費の白いかぶせ物はオールセラミッククラウンをさします。
一見どの歯も白く綺麗に見えますが、歯の汚れに色を付けると違いがよくわかります。
プラスチック素材は色がつきやすく、表面に汚れがたまりやすい素材です。一方、セラミック素材は汚れが付きにくく虫歯になりにくい素材です。
当院では、歯周病予防・虫歯再発防止の観点から汚れの付きにくいセラミックのかぶせ物を推奨しております。
歯周病治療

歯周病は、歯垢(プラーク)の中の細菌によって歯肉に炎症をひき起こし、歯を支えている骨を溶かしていく病気のことです。結果的に歯を失う原因になります。
歯周病は、自覚症状がない状態で進行するため、気付いた時には手遅れとなり、多くの場合は抜歯をせざるを得なくなっています。
以下のようなことに心当たりがありましたら歯周病の可能性を疑ってもよろしいかと思います。
・歯磨きの時に出血する
・喫煙の頻度が多い
・口臭がキツイと言われた
・食べ物が噛みにくくなった気がする
・口の中がネバネバする
・歯ぐきが下がってきている など
たとえ歯科医院で歯周病の治療を行っていても、かなりの手間と時間、費用がかかることから多くの方が治療を断念してしまうことで重症化し、むし歯同様に抜歯が必要となり、入れ歯のお世話にならざるをえなかったというケースがたくさんあります。
結果、こまめに歯医者にかかっていたにもかかわらず、銀歯や入れ歯だらけになってしまうのが現在の歯科医療の現実なのです。
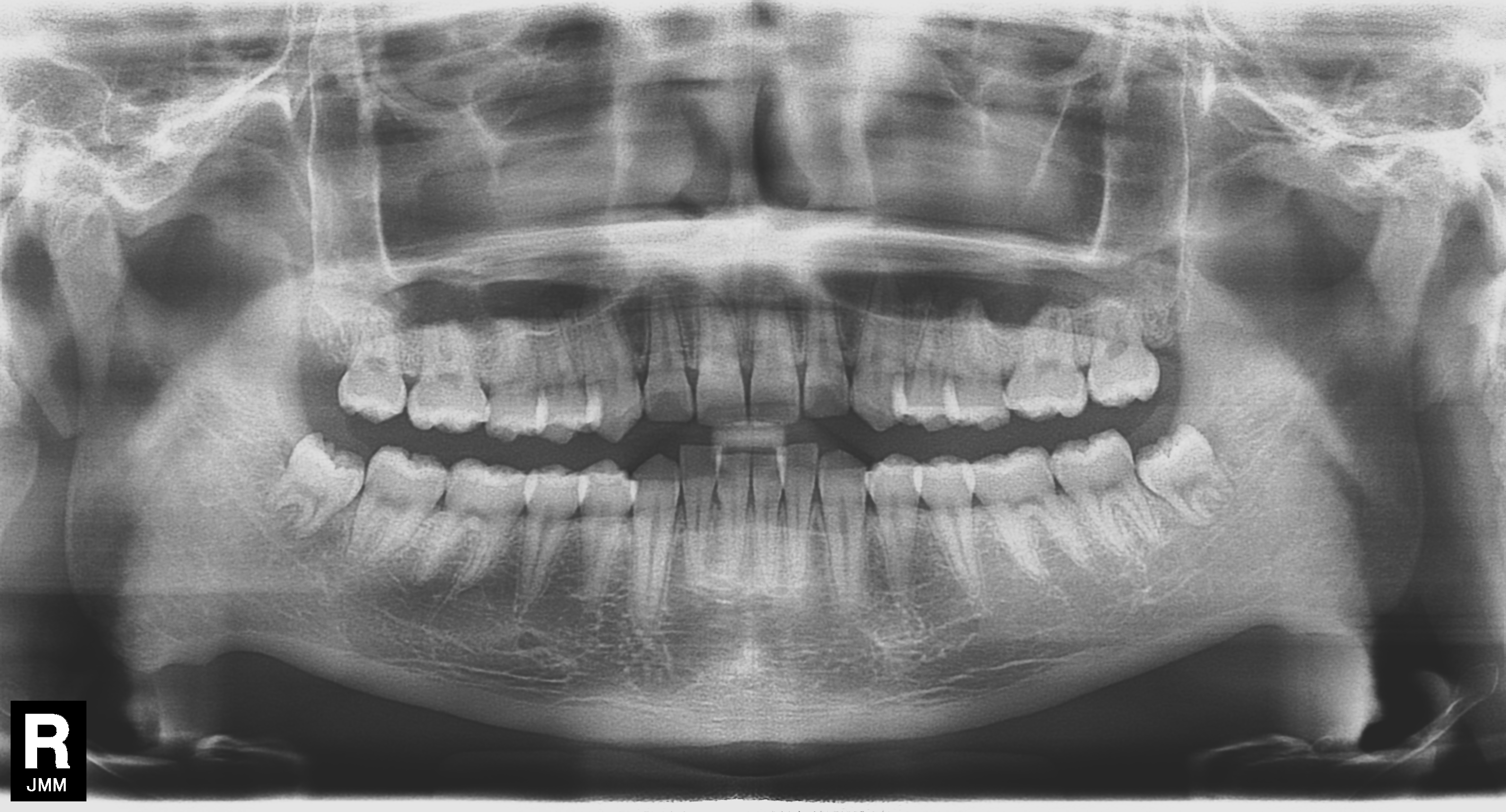
例えば、以下のレントゲンをご覧ください。歯周病になってしまっている患者様(左側写真・症状無し)と歯周病になっていない患者様(右側)の比較です。レントゲンを見れば状態がわかりますが、鏡で自分のお口を見るだけではなかなか気づくことができないのが歯周病です。

歯周病が進行している
進行していない
プロによるお手入れを定期的に行って頂くことで、一生涯をご自分の歯で過ごして頂くことが可能です。
また、どんな症状の方にも納得して治療を受けて頂くための診療(歯周病学会認定医の治療)、最新式の設備、そして丁寧な対応のスタッフが当院の自慢です。
悪くなってしまう前に是非ご相談ください。
ブリッジ
メリット
- 今までと同じように食事が可能・違和感が少ない。
デメリット
- 歯をたくさん削らないといけない。
- 清掃がしにくく、清掃を十分しないと支えとなっている歯がすぐにむし歯や歯槽膿漏になる。
レーザー治療
レーザー治療は医療各分野でも使用され、人体に対する安全性は十分に確立されており、高血圧、心臓疾患や内科的疾患の持病がある方や妊婦さんも安全に治療を受けていただけます。
かんざき歯科医院では、虫歯治療の他に歯周病、口内炎、知覚過敏などの治療にもレーザーを使用しており、また、治療の内容によってNd:YAGレーザー(デニックス社製)とオペレーザー(ヨシダ製)の使いわけを行っています。
Nd:YAGレーザー(デニックス社製)

近赤外域の波長を持ち、そのレーザー光は水分にほとんど吸収されず、組織透過性があるため、医科・歯科領域で幅広く応用されています。
また、痛みや副作用が少なく、持病があり多くのお薬を飲まれている方、妊婦の方、などにも安心して受けていただけます。
オペレーザー(ヨシダ製)

主に口の中にあるいは外の軟組織、また硬組織である歯牙の治療に使い、特に歯周病の急性期における腫れや痛み、膿がたまった歯ぐきからの排膿処置、口内炎の痛みなど、早期に且つ無痛的に症状を軽快にさせることが可能です。
また、歯ぐきやお口の中の粘膜などを切開したり、切除などを行った場合にも、術後の痛みや瘢痕形成はほとんどなく、治療の状態も早く、きれいに治ります。









